全球首台 全三维骨关节与A测量负重锥束CT
悬吊动态DR全球两大品牌之一
全幅成像悬吊DR
动态平板DR旗舰
全球首台移动动态DR
乳腺平板DR
分合一体超能移动C臂
轻薄身材 高清视界 专注前沿的高性能成像技术,将台超高端专业功能融于一身 重新定义便携
镁铝合金轻量一体化机身,重4.5Kg 完美诠释医疗时尚前沿的人机工程学设计
卫星环绕式控制面板,按键位置根据功能模块科学分区,常用功能键放置在轨迹球周围,操作者可直观进行单手操作,同时可根据个人操作习惯自定义功能区,提高临床诊断效率。
15.6"高清显示屏,超高清、无失真,支持色调、亮度自主调节。
180°角度开合,让用户在不同角度获得合适的扫描画面。
开关机时间约30秒,快速进入扫描,一键优化、一键存储、自动测量.
大容量可拆卸锂离子电池,支持锂离子电池单独供电连续>2H
简易车身,自动升降功能 贴心配备耦合剂加热槽,给受检者舒适体验
一键自动优化,快速提高图像质量
分区清晰明确,形象化菜单设计
自动注册/多应用模式,快速进入扫查
搭载了丰富的探头群,可全面满足腹部、泌尿系统、浅表器官、妇科、产科、心脏及外周血管等常规领域应用,在多科室间游刃有余。
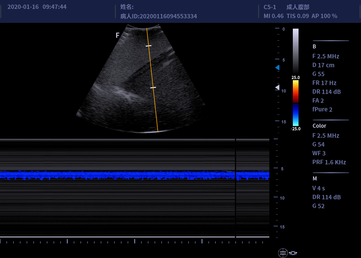
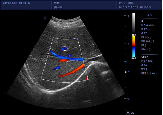
适用于腹部、妇产、泌尿等 临床超声检查
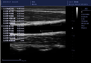
适用于外周血管、小器官、神经肌骨等 临床超声检查
适用于心脏、小儿科等 临床超声检查
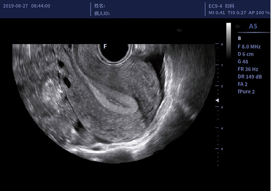
适用于经阴道、经直肠等 临床超声检查
Increase Matching Layers,匹配层+,增加匹配层至三层,更好的提升探头的灵敏度和带宽;
Bonding Process,邦定加工技术,通过均匀粘接工艺,连接陶瓷和电极的胶层厚度控制在最大1um以内,以改善阵元间的性能一致性;
Super Elements,超级阵元,通过超精密加工,一个阵元被分为若干子阵元(最小尺寸为75um)以增加探头的灵敏度和带宽;
在外出急救、灾区支援以及运动场上,凭借着轻便的移动性能、大容量的自带电源、快速的开机启动、简易的操作流,以及贴心包装设计,能够大大减轻户外携带的负担,同时快速响应,为户外急救及运动医学提供高效的诊疗帮助。
丰富的探头群、全面的穿刺套件以及简易的操作流,为手术室、疼痛医学、介入超声提供全面的临床诊疗方案,使超声医学为临床精准治疗保驾护航。
人性化的台车设计搭载三探头扩展器,在ICU床旁、急诊科等多科室应用游刃有余,为临床提供快速准确诊断的同时,大大减轻医生的工作强度。
388vip太阳集团科技官方公众号
388vip太阳集团科技用户交流平台官方公众号
388vip太阳集团科技官方视频号