业界超高端无伪口腔CT

星垂视野    无伪影像

锥形束投照计算机重组断层影像设备

Cone Beam Computed Tomography

星垂视野 一览无余

采用高性能CMOS探测器,最大FOV可达16x9cm星垂视野并支持无极可调,最小体素0.05mm。头颅采集模式,支持3s超快速扫描,最小像素99um,保证优质影像快速采集。
16x9

最大FOV

0.05mm

最小体素

CMOS

探测器

3s

超快速扫描

超能去伪 至臻影像

标配专业正畸软件

支持自动描点功能

精准定位
支持局部超清三维显示

局部超清显示、 移动视野摄片

真人正侧位投影,实现CT成像区域无极可调
可根据临床需求任意调整成像区域大小实现局部超清三维显示

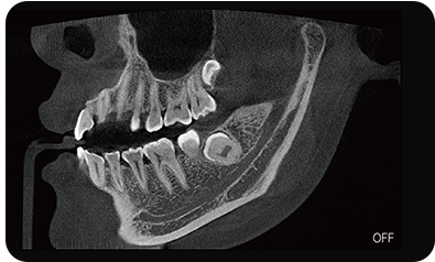
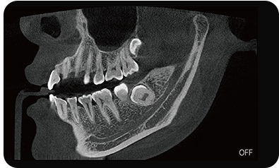
临床样片

有关388vip太阳集团
公司简介
发展历程
企业社会责任
包豪斯理念
新闻
公司新闻
创新产品矩阵
创新负重锥束 CT 系列
创新动态功能悬吊 DR 系列
创新动态断层多功能胃肠 DR 系列
创新移动动态功能 DR 系列
创新DBT三维断层乳腺机
创新移动动态 C 臂系列
用户服务
客户服务
客户关爱
加入我们
社会招聘
校园招聘
成长在388vip太阳集团
联系我们
联系方式
客户留言